Ca dao tục ngữ Việt Nam có câu: Nước chảy đá mòn. Cứng cáp như đá còn có thể bị bào mòn bởi nước vậy thì đối với răng của con người thì sao, trong quá trình sinh hoạt ăn nhai thường ngày chúng có bị bào mòn theo thời gian hay không?
Hãy cùng nha khoa Lê Duẩn tìm hiểu nhé!
BẠN ĐANG "ĂN MÒN" CHÍNH HÀM RĂNG CỦA MÌNH MỖI NGÀY MÀ KHÔNG BIẾT
1. Mòn răng là gì?
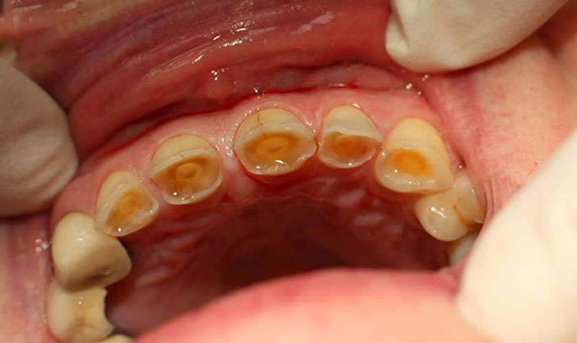
Mòn răng là tình trạng men răng bị mất dần theo thời gian do tác động cơ học hoặc hóa học. Khi men răng bị mòn, lớp ngà răng bên trong lộ ra khiến răng trở nên ê buốt, nhạy cảm, dễ sứt mẻ và giảm tuổi thọ răng.

Đáng lưu ý, men răng không có khả năng tự tái tạo, vì vậy mòn răng nếu không được phát hiện sớm sẽ tiến triển nặng dần và khó điều trị hơn.
2. Các loại mòn răng thường gặp
2.1 Mòn do ma sát
Xảy ra do tác động cơ học từ bên ngoài như chải răng sai cách, dùng bàn chải lông cứng, kem đánh răng có độ mài mòn cao, hoặc các thói quen xấu như dùng tăm xỉa răng, cắn móng tay, cắn vật cứng. Dạng mòn này thường gặp ở vùng cổ răng.
2.2 Mòn do tiếp xúc (mòn do cọ xát răng – răng)
Do răng hàm trên và hàm dưới cọ xát trực tiếp với nhau, thường gặp ở người có thói quen nghiến răng, cắn chặt răng khi ngủ. Những trường hợp mòn răng nhiều dạng này thường kèm theo loạn năng khớp thái dương – hàm, gây đau hàm, mỏi cơ nhai.
2.3 Mòn do hóa học (xói mòn răng)
Là hiện tượng mất men răng do axit, xuất phát từ:
-
Axit ngoại sinh: thức ăn, đồ uống có tính axit như nước ngọt có gas, nước tăng lực, nước trái cây chua
-
Axit nội sinh: trào ngược dạ dày – thực quản, nôn ói kéo dài
-
Các loại đồ uống có độ pH thấp nếu lạm dụng thường xuyên sẽ làm tăng nguy cơ mòn răng rõ rệt.
2.4 Mòn sinh lý
Xảy ra theo quá trình lão hóa tự nhiên, mức độ thường nhẹ, tiến triển chậm và không gây ảnh hưởng lớn nếu được kiểm soát tốt và theo dõi định kỳ.

3. Dấu hiệu nhận biết mòn răng
Người bị mòn răng có thể gặp các biểu hiện sau:
-
Răng ê buốt khi ăn đồ lạnh, nóng, chua hoặc ngọt
-
Cảm giác răng nhạy cảm hơn trước, đặc biệt khi hít khí lạnh
-
Răng ngắn lại, bề mặt nhẵn, mất các gờ tự nhiên
-
Xuất hiện khe lõm ở cổ răng
-
Răng dễ sứt mẻ, đổi màu vàng sậm do lộ ngà răng
Các bác sĩ cảnh báo: mòn răng không gây đau dữ dội ngay từ đầu, nên nhiều người chủ quan và bỏ qua giai đoạn điều trị sớm.
4. Nguyên nhân gây mòn răng
4.1 Thực phẩm và đồ uống có tính axit cao
-
Nước ngọt có gas, soda, nước tăng lực
-
Trái cây chua như cam, chanh, bưởi, me; nước ép trái cây
-
Thực phẩm muối chua, lên men, giấm
Việc sử dụng các thực phẩm này thường xuyên hoặc kéo dài trong ngày sẽ làm mềm men răng, tạo điều kiện cho mòn răng xảy ra nhanh hơn.
4.2 Thói quen vệ sinh răng miệng không đúng
-
Đánh răng quá mạnh
-
Dùng bàn chải lông cứng
-
Đánh răng ngay sau khi ăn đồ chua khi men răng đang yếu

Chải răng sai cách, dùng lực mạnh và đánh ngang có thể gây mòn cổ răng, tụt nướu và ê buốt răng.
4.3 Nghiến răng, siết răng
Thường gặp khi ngủ hoặc do căng thẳng, gây mòn mạnh mặt nhai và làm răng ngắn dần.
4.4 Axit từ dạ dày
Người bị trào ngược dạ dày – thực quản, nôn ói thường xuyên có nguy cơ mòn răng cao do axit dạ dày tiếp xúc với răng.
5. Cách điều trị và phòng ngừa mòn răng
🔹 Điều trị mòn răng
Tùy mức độ tổn thương, bác sĩ có thể chỉ định:
-
Phủ fluor hoặc chất tái khoáng: giảm ê buốt, làm cứng bề mặt răng
-
Trám răng: áp dụng cho mòn cổ răng hoặc mòn nhẹ – trung bình
-
Bọc răng sứ: với răng mòn nặng, mất nhiều mô răng
-
Máng chống nghiến: nếu nguyên nhân do nghiến răng
🔹 Phòng ngừa mòn răng
-
Hạn chế đồ ăn, thức uống có tính axit
-
Không đánh răng ngay sau khi ăn đồ chua (chờ ít nhất 30 phút)
-
Dùng bàn chải lông mềm, chải răng nhẹ nhàng, đúng kỹ thuật
-
Súc miệng bằng nước lọc sau khi uống nước chua, nước ngọt
-
Khám răng định kỳ để phát hiện sớm mòn răng
Kết luận
Mòn răng là vấn đề răng miệng phổ biến nhưng dễ bị xem nhẹ. Nếu không được phát hiện và xử lý kịp thời, mòn răng có thể dẫn đến ê buốt kéo dài, mất thẩm mỹ và ảnh hưởng chức năng ăn nhai. Việc điều chỉnh thói quen ăn uống, vệ sinh răng miệng đúng cách và thăm khám nha khoa định kỳ là chìa khóa giúp bảo vệ răng lâu dài.
Nguồn tham khảo
Báo Tuổi Trẻ Online, Bác sĩ cảnh báo những đồ ăn dễ gây mòn răng, https://tuoitre.vn